Zirkonyum Diş Fiyatı 2025-2026: Estetik ve Sağlık İçin Yapılan Yatırımın Maliyeti
Estetik diş hekimliğinde en çok tercih edilen uygulamalardan biri olan zirkonyum diş kaplamalar, doğal görünümleri ve dayanıklılıkları ile öne çıkar. Ancak bu popüler tedaviyi düşünenlerin en çok merak ettiği konuların başında zirkonyum diş fiyatı gelmektedir. Bu makalemizde, güncel zirkonyum diş fiyatları 2025-2026 bilgileriyle birlikte, bu maliyetleri etkileyen faktörleri ve karar verirken yalnızca fiyata odaklanmamanın neden önemli olduğunu detaylı bir şekilde ele alacağız.

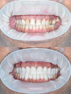
Ön dişlere zirkonyum kaplama estetiği
Zirkonyum Diş Nedir ve Neden Bu Kadar Popüler?
Zirkonyum, yüksek teknoloji seramik sınıfına giren beyaz renkli, oldukça dayanıklı bir malzemedir. Diş hekimliğinde kaplama ve köprü yapımında yaygın olarak kullanılır. Metal destekli porselen kaplamaların aksine, zirkonyum kendi başına yeterli dayanıklılığa sahip olduğu için altyapısında metal kullanımına gerek duyulmaz. Bu özelliği sayesinde ışığı geçirme kapasitesi daha yüksektir, bu da ona doğal dişe en yakın görünümü kazandırır.
Zirkonyum dişlerin estetik avantajlarının yanı sıra biyolojik olarak uyumlu olması, alerjik reaksiyonlara neden olmaması ve uzun ömürlü olması, onları hem hastalar hem de hekimler için cazip bir seçenek haline getirir.
Zirkonyum Diş Fiyatını Etkileyen Temel Faktörler
Zirkonyum diş kaplama maliyeti birçok değişkene bağlı olarak farklılık gösterir. Sadece fiyatlara odaklanmak yerine, bu farklılıkların altında yatan nedenleri anlamak doğru bir tedavi seçimi yapmanızda size yardımcı olacaktır. İşte zirkonyum diş fiyatlarını etkileyen başlıca faktörler:
-
Kullanılan Zirkonyum Bloğun Kalitesi ve Menşei: Sağladığınız bilgide de vurgulandığı gibi, zirkonyum dişler yurt dışından ithal edilen zirkon bloklardan özel cihazlarla kazınarak üretilir. Bu blokların menşei (Çin, Kore, Alman, Amerikan, Fransız vb.) ve kalitesi arasında ciddi fiyat farkları bulunmaktadır. Kaliteli, bilinen markaların blokları daha yüksek saflıkta zirkonyum içerir ve üretim süreçleri daha standarttır. Bu da nihai kaplamanın dayanıklılığını, estetiğini ve biyolojik uyumunu doğrudan etkiler. Ucuz bloklar kullanılarak yapılan zirkonyum dişler başlangıçta uygun fiyatlı görünse de, uzun vadede renklenme, kırılma, çatlama gibi sorunlar çıkarma olasılığı daha yüksektir.
-
Diş Hekiminin Deneyimi ve Uzmanlığı: İmplant tedavisinde olduğu gibi zirkonyum diş kaplama uygulamasında da hekimin tecrübesi kritik öneme sahiptir. Deneyimli bir hekim, doğru planlama yapar, dişi hassas bir şekilde hazırlar ve kaplamanın diş etine uyumunu en iyi şekilde sağlar. Bu da tedavinin başarısını ve ömrünü etkiler. Alanında uzmanlaşmış, estetik diş hekimliği konusunda tecrübeli hekimlerin fiyatlandırması farklı olabilir.
-
Klinik Konumu ve Teknolojik Donanımı: Tedavinin yapılacağı kliniğin bulunduğu şehir (İstanbul, Ankara, İzmir gibi büyük şehirlerde genellikle maliyetler daha yüksek olabilir) ve kliniğin kullandığı teknoloji de fiyatları etkileyen faktörlerdendir. CAD/CAM (Bilgisayar Destekli Tasarım ve Üretim) sistemleri gibi modern teknolojilere yatırım yapmış klinikler, daha hassas ve hızlı üretim yapabilirler, bu da maliyete yansıyabilir.
-
Tedavi Kapsamı ve Uygulanacak Diş Sayısı: Tek bir dişe mi yoksa birden fazla dişe mi zirkonyum kaplama yapılacağı fiyatı belirleyen en önemli faktörlerdendir. Tam ağız zirkonyum kaplama tedavilerinde toplam maliyet doğal olarak daha yüksek olacaktır.
-
Ek Tedaviler: Zirkonyum kaplama öncesinde dişlerde çürük, diş eti hastalığı, kanal tedavisi gibi ek tedavilere ihtiyaç duyulması toplam maliyeti artırabilir. Diş etlerinin şekillendirilmesi veya geçici kaplama yapılması gibi ek işlemler de fiyatlandırmaya dahil edilebilir.
-
Diş Laboratuvarının Kalitesi ve İşçiliği: Zirkonyum kaplamalar diş hekiminin aldığı ölçüye göre diş laboratuvarında üretilir. Laboratuvarın kullandığı teknoloji, teknisyenin tecrübesi ve işçiliği de kaplamanın kalitesini ve dolayısıyla fiyatını etkiler. Kaliteli malzemelerle çalışan ve iyi işçilik sunan laboratuvarlar genellikle daha yüksek maliyetlidir.
Zirkonyum Diş Fiyatları Ne Kadar? (Güncel 2025-2026 Ortalamaları)

Ön diş estetiği
Türkiye’de güncel zirkonyum diş fiyatları 2024-2025 yılı itibarıyla kliniğe, hekime, kullanılan malzemeye ve vakanın karmaşıklığına göre büyük farklılıklar göstermektedir. Türk Diş Hekimleri Birliği (TDB) tarafından her yıl belirlenen rehber tarifeler olsa da, özel kliniklerin fiyatlandırması bu tarifelerin üzerinde veya altında olabilir.
Ortalama bir rakam vermek gerekirse, tek diş zirkonyum kaplama fiyatı 5.000 TL ile 15.000 TL arasında değişebilir. Tam ağız zirkonyum kaplama fiyatları ise yapılacak diş sayısına göre 80.000 TL’den başlayıp 200.000 TL’nin üzerine çıkabilmektedir.
Önemli Not: Bu rakamlar yalnızca birer tahmindir ve size özel tedavi planlaması yapılmadan net bir fiyat vermek mümkün değildir. En doğru fiyat bilgisi için mutlaka detaylı bir muayene ve hekiminizle birebir görüşme yapmanız gerekmektedir.
Ucuz Zirkonyum Diş Neden Riskli Olabilir?
Sadece zirkonyum diş fiyatına odaklanarak en ucuz seçeneği tercih etmek, başlangıçta cazip görünse de uzun vadede daha büyük sorunlara yol açabilir. Sağladığınız metinde de belirtildiği gibi, çok düşük fiyatlar genellikle düşük kaliteli zirkonyum blokların kullanıldığının bir işareti olabilir.
Düşük kaliteli zirkonyum kaplamalar zamanla renk değiştirebilir, kırılabilir veya çatlayabilir. Ayrıca, diş eti ile uyumu iyi olmayabilir ve diş eti hastalıklarına yol açabilir. Bu durumda kaplamaların yenilenmesi gerekebilir ki bu da ek maliyet ve zaman kaybı anlamına gelir. Üstelik, ucuz hizmet sunan bazı kliniklerde veya laboratuvarlarda yaşanan sorunlarda muhatap bulmakta zorlanabilirsiniz.
Unutulmamalıdır ki, zirkonyum diş kaplama tedavisi hem estetik hem de fonksiyonel bir yatırımdır. Sağlığınız ve uzun süreli memnuniyetiniz için fiyattan çok kaliteye, hekimin tecrübesine ve kullanılan malzemelerin güvenilirliğine önem vermeniz çok daha akılcı olacaktır.
Kaliteli Zirkonyum Dişin Avantajları
Kaliteli malzemelerle ve doğru teknikle uygulanan zirkonyum diş kaplamalar, maliyetine değecek birçok avantaj sunar:
- Mükemmel Estetik: Doğal diş rengine ve translusentliğine (ışık geçirgenliğine) en yakın görünümü sunarlar.
- Yüksek Dayanıklılık: Çiğneme kuvvetlerine karşı oldukça dirençlidirler.
- Biyolojik Uyum: Diş etleriyle dosttur ve alerji yapmazlar.
- Uzun Ömürlü Kullanım: Doğru bakım ile yıllarca sorunsuz kullanılabilirler.
- Renk Stabilitesi: Zamanla renk değiştirme yapmazlar.
Bilinçli Karar Verin: Fiyattan Önce Kalite ve Güven

Estetik Zirkonyum diş kaplama
Zirkonyum diş fiyatı araştırması yaparken, size sunulan fiyat teklifinin neleri kapsadığını detaylı olarak öğrenin. Kullanılacak zirkonyum bloğun markasını ve menşeini sorgulamaktan çekinmeyin. Hekiminizin bu konudaki tecrübesini ve kliniğin hijyen ve teknoloji standartlarını göz önünde bulundurun.
Sağlığınız söz konusu olduğunda, kısa vadeli maddi kazançlar yerine uzun vadeli faydayı ve huzuru tercih etmek en doğrusudur. Kaliteli zirkonyum dişler, size uzun yıllar boyunca estetik bir gülüş ve sağlıklı bir ağız yapısı sunacaktır.
Eğer siz de zirkonyum diş kaplama tedavisi hakkında daha fazla bilgi almak, size özel zirkonyum diş fiyatlarını öğrenmek ve tecrübeli hekimlerimizle görüşmek isterseniz, kliniğimize başvurabilirsiniz. Detaylı muayene ve profesyonel bir değerlendirme ile size en uygun tedavi planını birlikte oluşturabiliriz.